お得なホワイトニングコース
人気コースランキング
ずっと白くてキレイな歯でいたい!そんな願いに近づけるコースメニューです。
低価格で、定期的にホワイトニングされている方に最適なプランです。
| ★★第1位★★ お手ごろ ホワイトニング |
★第2位★ とことん院内で ホワイトニング |
|
|---|---|---|
| オフィス ホワイトニング |
20歯を2回22,000円 (税込) | 20歯を4回44,000円 (税込) |
| ホーム ホワイトニング キット |
薬剤1箱(4本)+上下マウスピース11,990円 (税込) | - |
| コース料金 | →28,600円(税込) |
→33,000円(税込) |
※表示価格は全て税込となります。
※妊娠期・授乳期の女性につきましては、安全性が確立されていないため、ホワイトニングはお勧めしておりません。
※オフィスホワイトニングは高校卒業程度、ホームホワイトニングは17才以上からとさせていただいております。
お手頃ホワイトニングコース
初めてホワイトニングをされる方向け♪ 2~3回の来院で確実に白さを実感できます。
- 施術内容
-
1.オフィスホワイトニング20本の歯を
2回照射 22,000円 (税込)2.ホームホワイトニングキット
1箱(4本) 11,990円 (税込)通常、施術料金が33,990円 (税込)となりますが、このコースは「28,600円 (税込)」にてご提供します。
※表示価格は全て税込となります。
※妊娠期・授乳期の女性につきましては、安全性が確立されていないため、ホワイトニングはお勧めしておりません。
※オフィスホワイトニングは高校卒業程度、ホームホワイトニングは17才以上からとさせていただいております。
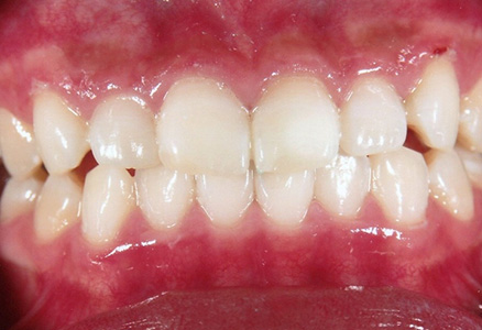
お手ごろホワイトニングコース 施術例
BEFORE
AFTER
| 効果 | A3→A1 | 難易度 | ★☆☆ |
|---|---|---|---|
| 施術内容 | お手頃ホワイトニング | ||
| 所見 | ローテクスチャーで、着色も強くないため、軽度と判断しました。この時点でも自然で綺麗な白さですが、このタイプのかたは、やればやるほど白くなるタイプです。 | ||
BEFORE
AFTER
| 効果 | 難易度 | ★★☆ | |
|---|---|---|---|
| 施術内容 | お手頃ホワイトニング | ||
| 所見 | バンディング(歯の表面にある帯状の模様)を認めるとともに、ミドルテクスチャーのため、中等度と判断しました。中等度以上の方はデュアルホワイトニングが有効である場合が多いです。 | ||
BEFORE
AFTER
| 効果 | 難易度 | ★☆☆ | |
|---|---|---|---|
| 施術内容 | お手頃ホワイトニング | ||
| 所見 | ローテクスチャーで、バンディングなし。十分きれいな白さとなりました。 | ||
※ホワイトニング効果は個人差がございます。
※治療上でのリスク:後戻り、知覚過敏
とことん院内でホワイトニング
ご自宅でのホワイトニングに自信はないけど、しっかり白くしたい方向け♪
- 施術内容
-
オフィスホワイトニング20本の歯を4回照射(来院回数2~4回) 44,000円 (税込)
通常、施術料金が44,000円 (税込)となりますが、このコースは「33,000円 (税込)」にてご提供します。
使用しなかった分のホワイトニングは半年以内ならいつでも使用可能です♪
※表示価格は全て税込となります。
※妊娠期・授乳期の女性につきましては、安全性が確立されていないため、ホワイトニングはお勧めしておりません。
※オフィスホワイトニングは高校卒業程度、ホームホワイトニングは17才以上からとさせていただいております。
とことん院内でホワイトニング 施術例
BEFORE
AFTER
| 効果 | A3→W3 | 難易度 | ★☆☆ |
|---|---|---|---|
| 施術内容 | とことん院内でホワイトニング | ||
| 所見 | 着色はやや強いものの、テクスチャー(歯の表面の凸凹度)がロー(低い)ため、白くなりやすいタイプです。 | ||
BEFORE
AFTER
| 効果 | 難易度 | ★★☆ | |
|---|---|---|---|
| 施術内容 | とことん院内でホワイトニング | ||
| 所見 | ローテクスチャー、着色も弱いため、軽度と判断しました。このタイプの方で4回照射すると、目が覚めるような真っ白な歯になります。 | ||
※ホワイトニング効果は個人差がございます。
※治療上でのリスク:後戻り、知覚過敏
SALON INFO
ホワイトニング施術が受けられるサロンをご紹介します。

ご予約はWeb予約にて24時間受付中です。下記ボタンをクリックしてご予約ください。
ご予約はWeb予約にて24時間受付中です。
下記ボタンをクリックしてご予約ください。